Qu’est ce qu’une fracture ?
La main est composée de nombreux os, dont la forme permet d’assurer la fonction de serrage. Cette forme permet notamment aux muscles de s’insérer et de mobiliser le poignet et les doigts. Une fracture survient lorsqu’une force suffisante est appliquée sur un os et parvient à le briser. Dans ce cas, il existe une douleur, un œdème, et une mobilité réduite en regard de la fracture. A partir du moment où l’os est cassé, partiellement ou complètement, on utilise le terme unique de « fracture ». Les fractures peuvent être qualifiées de « simples » avec des pièces osseuses alignées et stables. Les autres fractures sont dites « instables », avec une tendance des pièces osseuses à se déplacer. Certaines fractures concernent la « diaphyse » de l’os (partie la plus longue), et d’autres concernent la partie « articulaire » (en général, l’extrémité de l’os). Les fractures « comminutives » engendrent plusieurs fragments osseux, de petite taille, et surviennent habituellement après un traumatisme à haute énergie, avec un risque d’instabilité important. En cas de plaie en regard d’une fracture, celle ci est qualifiée de « fracture ouverte », un fragment osseux ayant traversé la peau. Le risque d’infection est dans ce cas très élevé.

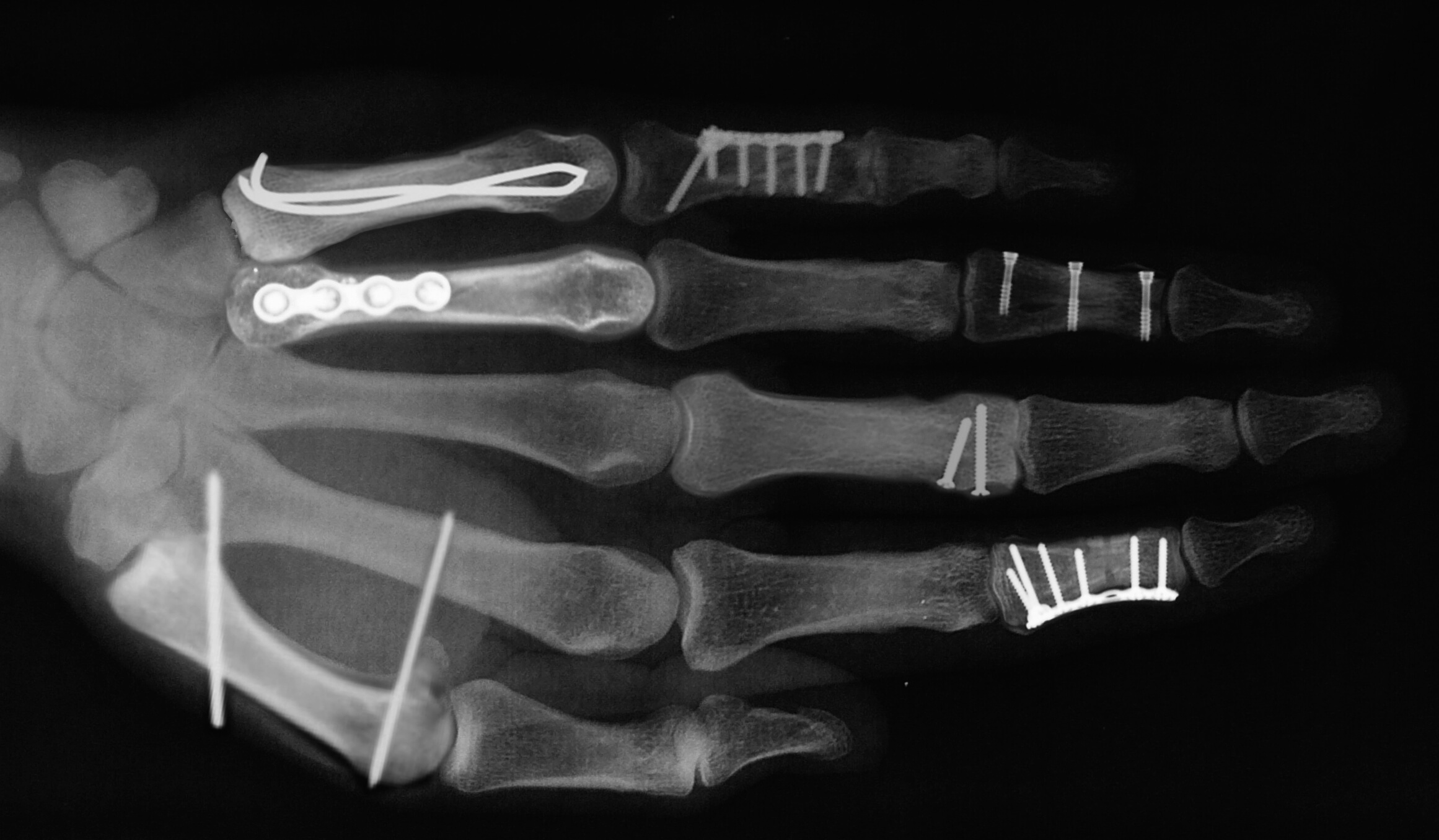
Exemple de fractures et de stabilisation chirurgicale
Quelles sont les conséquences ?
La main est souvent concernée par les fractures, qui peuvent engendrer des douleurs, une raideur, puis une perte de mobilité secondaire. Parfois, une importante déformation est visible, témoignant du déplacement des fragments osseux. En raison de la proximité de l’os, des tendons et des ligaments, on peut constater une raideur et une faiblesse de la main après cicatrisation de la fracture. Les fractures concernant les articulations peuvent conduire à une arthrose prématurée (usure du cartilage).
Quels sont les traitements ?
Un examen médical et un bilan radiographique sont habituellement nécessaires pour porter le diagnostic de fracture. En fonction du type et de la localisation de la fracture, votre chirurgien de la main vous recommandera un traitement adapté.
Une attelle ou une orthèse sur-mesure peut être utile pour immobiliser une fracture non-déplacée, ou pour protéger une fracture qui a été opérée. Certaines fractures déplacées nécessitent une réduction du déplacement puis une fixation par du matériel (vis, broches) mis en place à travers la peau sans incision, ou par des incisions très petites.
D’autres fractures peuvent nécessiter une incision plus grande, pour aborder le foyer de fracture et remettre les pièces osseuses correctement. Une fois alignés, les fragments osseux sont stabilisés par du matériel (broches, vis, plaques et vis, ...). Lorsqu’une articulation est fracturée, il faut envisager une restitution la plus précise possible de la surface articulaire. Parfois, il peut manquer de l’os, ou celui ci a été tellement endommagé qu’il ne peut pas être réparé. Dans ces cas, une greffe osseuse est nécessaire, et le chirurgien prélève de l’os à un autre endroit (poignet, coude, bassin) pour combler la perte de substance osseuse et favoriser la consolidation de la fracture.
Certaines fractures qui ont été réduites peuvent être stabilisées par un « fixateur externe », qui est un ensemble rigide de tiges métalliques et de broches fixées dans l’os au-dessus et en-dessous du foyer de fracture. Le fixateur est laissé en place jusqu’à guérison de la fracture, et sa configuration peut être modifiée en fonction des besoins. Une fois que la consolidation de la fracture est suffisante, des exercices de mobilisation des doigts peuvent être débutés pour limiter l’enraidissement. Le chirurgien de la main détermine le moment adéquat pour commencer cette rééducation, en fonction des contrôles en consultation, à l’aide de radiographies.

Exemple de matériel d’ostéosynthèse de la main
Quels résultats puis-je espérer ?
Le parfait alignement des pièces osseuses sur les radiographies n’est par toujours indispensable pour obtenir une fonction satisfaisante de la main. Un gonflement de l’os peut apparaître progressivement en regard de la fracture, témoignant de la consolidation osseuse (cal osseux). Cela fonctionne comme un point de soudure. Il s’agit d’un phénomène naturel de cicatrisation, et le cal osseux peut éventuellement s’affiner avec le temps. Les complications de la consolidation d’une fracture comportent la raideur, un déplacement secondaire des fragments osseux, l’infection de la fracture, un retard de consolidation voire une absence de consolidation. L’algodystrophie est également une complication qui peut survenir, de façon imprévisible. Le tabagisme a été incriminé dans le retard de consolidation. Une fracture chez l’enfant peut affecter la croissance future de cet os. Il est possible de diminuer le risque de complication après une fracture en suivant attentivement les conseils de votre chirurgien de la main, pendant la période de consolidation, et avant le retour aux activités professionnelles et de loisirs. Un programme de rééducation avec des orthèses particulières et une mobilisation adaptée peut être prescrite pour améliorer la récupération fonctionnelle.
Dans certains cas, malheureusement, malgré tous les soins et toute la vigilance du patient et de son chirurgien, l’évolution peut être défavorable, et nécessiter une modification du traitement, voire une intervention chirurgicale de correction.
Votre chirurgien de la main est à votre disposition pour vous conseiller et choisir avec vous le traitement le plus approprié à votre cas.

