Définition
L’arthrose est l’évolution de l’usure du cartilage qui recouvre les os dans cette articulation. Cette usure engendre des douleurs et une perte de fonction progressive.
Quelles sont les causes ?
L’arthrose peut survenir après un traumatisme du poignet. Dans ce cas, après une fracture ou une entorse grave (rupture ligamentaire), les mouvements des os sont anormaux, ce qui provoque une usure prématurée du cartilage. Les fractures du radius, du scaphoïde, et les ruptures des ligaments entre les os du poignet sont la cause la plus fréquente d’arthrose du poignet. Cette arthrose peut également survenir spontanément, en dehors de tout traumatisme, comme dans la chondrocalcinose. Dans ce cas, ce sont des cristaux microscopiques qui vont user le cartilage. On retrouve ces dépôts préférentiellement au niveau des poignets et des genoux, mais toutes les autres articulations peuvent être atteintes.

Arthrose après rupture du ligament scapho-lunaire

Arthrose après fracture ancienne du scaphoïde carpien (pseudarthrose)
Signes et symptômes
L’arthrose provoque des douleurs en regard des articulations atteintes, survenant lors de leur utilisation. On retrouve également une tuméfaction plus ou moins importante à ce niveau. La mobilité de l’articulation est diminuée, et la force est souvent amoindrie. Des déformations articulaires sont possibles, avec l’évolution de la maladie, qui est souvent longue, et malheureusement pour le moment, irréversible.
Quels sont les examens complémentaires à réaliser ?
Le bilan radiographique permet d’apprécier l’étendue et la sévérité de l’arthrose. Souvent, le médecin prescrit un bilan complémentaire pour plus de précision sur l’arthrose et sur sa cause. L’IRM est un examen prometteur, encore en phase de développement au niveau du poignet. L’arthroscanner permet de visualiser les surfaces articulaires et les ligaments, ce qui permet de confirmer une cause ligamentaire et d’envisager un traitement adapté. D’autres examens peuvent être nécessaires, comme la scintigraphie osseuse, ou un bilan biologique (prise de sang). L’arthoscopie du poignet est également utilisée dans cette pathologie, afin de visualiser directement les surfaces articulaires et les ligaments du poignet.
Quels traitements envisager ?
Les médicaments antalgiques sont généralement efficaces, de façon transitoire. Le maintien en position de repos, à l’aide d’une orthèse confectionnée sur mesure, aide à soulager les douleurs. Une infiltration de dérivés corticoïdes peut aider à passer un cap douloureux. En cas de persistance ou d’aggravation des douleurs, une intervention chirurgicale peut être indiquée. De nombreuses solutions chirurgicales sont disponibles, et visent à diminuer les douleurs.
- La dénervation du poignet : l’objectif est de supprimer la douleur, transmises par les rameaux nerveux articulaires, en sectionnant de façon élective ces rameaux nerveux.
- La résection de la première rangée des os du carpe : intervention ancienne, visant à retirer définitivement la moitié des os du poignet, afin de « simplifier » les rapports anatomiques. On ne peut la proposer que si l’arthrose a épargné le radius et la moitié restante du carpe.

Résection de la première rangée des os du carpe
- L’arthrodèse partielle du carpe : cette opération vise à supprimer les douleurs en retirant l’os qui est arthrosique (le scaphoïde) puis à stabiliser (bloquer partiellement) les os restants.Cette opération n’est réalisable que si la partie du radius s’articulant avec les os fusionnés est saine. La mobilité et la force résiduelles permettent en général d’effectuer les gestes de la vie quotidienne de façon suffisante.
Arthrodèse partielle du carpe (vissage en compression)

Arthrodèse partielle du carpe (cupule vissée radiotransparente)
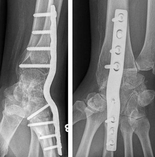
- L’arthrodèse globale du poignet : les articulations du poignet sont toutes fusionnées, et le poignet est alors stabilisé en entier par une plaque d’arthrodèse ou par un autre matériel. Le poignet ne peut alors plus fléchir ni s’incliner. La rotation est conservée.

Arthrodèse totale du poignet (plaque vissée)
- Autres gestes : il est possible de mettre en place une prothèse artificielle, remplaçant les surfaces abîmées, les greffes de cartilage sont encore au stade de la recherche, de même que les transferts articulaires vascularisés.
Votre Chirurgien est disponible pour vous expliquer les différentes techniques possibles, et choisir avec vous la meilleure solution adaptée à votre cas.

